DR. ADNAN AHMAD
B.D.S, M.SC.(London)

Dr. Adnan Ahmad truly loves being a Dentist. He studied in London and has been fixing smiles for 18 years!

DR. REHNUMA IQBAL
B.D.S

Dr. Rehnuma has proven incredible work within her whole career.

About us

Opening Hours

  • Saturday-Thurs
    9:00am - 6:00pm
  • Friday
    Closed
  • Out of working hours
    dial 04-8866248 or
    WhatsApp +971559910094.
Request an appointment

Dental Services
Your Smile Matters

We provide a wide range of Dental Care services. Our #1 priority is providing the highest standards to each of our clients.

Services Offered

CALL US TODAY
We're Here for you

04-8866248

Get the Smile You Deserve from A Dentist You Can Trust!

Contact Us

We Care ABOUT YOUR Teeth!

We believe that visiting a dentist shouldn’t be a frightening or stressful experience! We provide an equally comfortable experience of relaxation for all our young and adult clients!

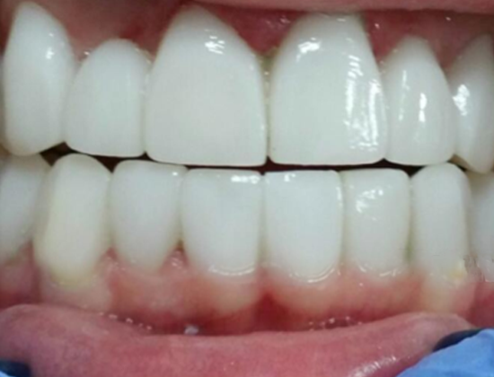
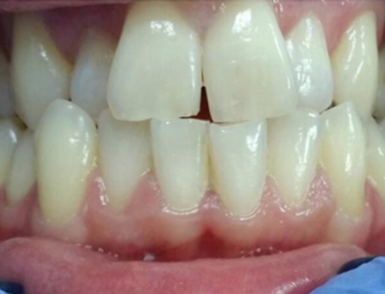
<< Click and Drag to see Before and After Results >>

Make Appointment Now

Services

Pretty Smile Dental provides the highest standards of evidence based
Dental Care.

Root Canal Treatment

Recommended if the tooth pulp and nerves become infected. With our dental team you can expect little to no discomfort during the process.

Mouth Guards

Also reffered to as "mouth protectors" these are professionaly molded to fit your teeth. A great way to protect the soft tissues in the mouth.

Teeth Whitening

Brighten your smile in as little as one visit. Our professional whitening treatement utilizes a powerful yet safe method to get the smile you desire.

X-Ray Examination

Our X-rays use digital sensors without discomfort nor risk of radiation exposure, providing you with efficient, accurate diagnoses and quality care.

Dentures

Our dentures are custom made to fit your smile comfortably and securely to help restore the function, beauty, and health of you smile.

Composite

A restorative process used to repair minor to moderate tooth damage. This process requires only one visit and help prevents the need for a root canal.

0

Happy Smiles

0

Services Performed

0

Instagram Followers

0

Years in Practice

Dr. Adnan Ahmad

  • Adnan Ahmad, B.D.S, M.ScL

A Dentist you can trust who is passionate to improve oral health and hygiene.

Dr. Ahmad has been practising dentistry since 1999 in the United Arab Emirates and abroad. As a well-known dentist located in Dubai, his expertise is in comestic and reconstructive dentistry. He works with only the finest dental materials and labratories to achieve beautiful and natural appearing crowns, bridges, and veneers. He previously practiced at Al Sayegh Medical Center Dubai. Now he is helping patients at Pretty Smile Dental Clinic.

Skills
Veneer Skill Set
Pain-Free Treatment
English Speaking
Industry Relationships
Beginner
Intermediate
Professional
Master

Pricing

Quality Dental Care at Prices you can Afford!

Teeth Whitening

500 AED

First Time

First time visit at Pretty Smile Dental? Enjoy a welcoming discount on us!

Request an Appointment

Root Treatment

30% Discount

First Time

First time visit at Pretty Smile Dental? Enjoy a welcoming discount on us!

Request an Appointment

Crowns / Veneers

30% Discount

First Time

First time visit at Pretty Smile Dental? Enjoy a welcoming discount on us!

Request an Appointment

(04) – 8866248

Pain? Emergency? Don't! suffer! Call us NOW!

Tooth Pain? Chip tooth before a huge event? Call us and we will be happy to determine the severity and advise you on your best options.

Call Us Now

Testimonials

See what our clients say about their experience at
Pretty Smile Dental Clinic

Contact Us

Got a question? Need help? Send us a message below and we will readily respond back as easrliest as possible. We are passionate to assist and provide information about oral care as well.